新所沢と小手指で矯正歯科の専門治療やってます

あなたの歯並びや噛み合わせを美しく矯正します
ブライトデンタルクリニックは新所沢と小手指のちょうど中間に位置する矯正歯科の専門医。当院は子供の患者様から成人の患者様まで様々な方に矯正歯科治療を実践しております。
そもそも矯正歯科治療とは、一般的に悪い歯並びをご自身の歯を使って治療することです。よく噛むこと、よく噛める正しい噛み合わせをもつことは、将来の健康にとても大切です。
歯がデコボコしていたり、上下の歯がちゃんと噛み合ないと将来的に
・食べ物がよく噛めない
・言葉が聞き取りづらい
・虫歯になりやすい
・歯槽膿漏になりやすい
・口臭の原因になりなすい
・顎の関節に負担がかかる
などの問題がでてきます
このような問題を解決するため、口の中に装置を入れ、歯に一定の力をかけて、歯を動かし、歯並びや噛み合わせを治すことを矯正歯科治療と言います。
当院の小児矯正歯科
小児矯正とは、顎の骨の成長過程で行うもので、メリットの多い治療法です。
顎の骨が柔らかいうちに始めることで、成長を使った治療ができます。
そのため、将来的に抜歯の確率が低くなり、より良い治療結果を得られやすくなります。
-
子どもの負担を軽減できる
小児矯正は成人矯正と違い、基本的に取り外し可能な装置を用います。
学校に行く時は装置を付ける必要はほとんどありません。固定式の装置を用いる場合もありますが、部分的にごく短期間の使用で済みます。 -
永久歯が生えてくる隙間の確保(予防矯正)
永久歯が出てくる隙間が少なければ、歯並びは悪くなります。この隙間を確保したり広げることができます。将来、成人矯正が必要になった場合でも、葉を抜いて治療する可能性を低くすることが出来ます。
-
顎の骨の成長コントロール
不正咬合には『歯並び』によるものの他に、顎の骨の位置異常や大きさの問題によるものがあります。顎の成長バランスをコントロールすることで、正しい骨格形成を行えるのは成長期だけです。
-
見た目の改善
感受性豊かな学童期に、一番目立つ前歯をきれいに整えることはコンプレックスをなくし、明るく積極的な人格形成の一助になります。
-
ムシ歯予防
将来ムシ歯の数を減らすために一番大切な時期は学童期です。生えてきたばかりの永久歯は弱く、ムシ歯になるリスクが高いからです。 歯並びを早くに整えることで歯磨きがしやすくなり、ムシ歯や歯肉炎のリスクを大幅に軽減できます。
-
当院は経験豊富な医院
新所沢と小手指に矯正歯科を行っている歯科医院は数多くありますが、専門医がいる歯医者は限られています。当院は日本人のみならず多くの外国の患者様も対応してきました。実績には自信があります。
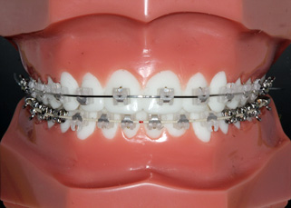
矯正装置の紹介
最新の成人矯正
矯正治療って、子供のためのもの...と思われがちですが、
最近ではテレビのタレントがしてたり、友達がしてたり、近所のカフェの店員がしてたり...
と以前より身近な感じはありませんか?
歯並びは相手の印象に大きく影響します。
一度相談されてはいかがですか?
矯正装置について

成人矯正は主に、取り外しのできないブラケット(ブレース)とワイヤーを用いて、歯1本1本を動かしていく治療法です。
当医院では、マクローフリンシステムという、ブラケット(ブレース)自体に歯が3次元的に動くための必要な情報が組み込まれているものを使用しております。
このブラケット(ブレース)を治療に使用することで、効率的に歯を動かすことができ、痛みの軽減にもなります。最終的には、良好な治療結果も得られます。
当歯科医院は世界的に認められた最新の3つの治療システムを導入しております。
患者様のご希望を聞きながら、一緒に装置の選択をします。(各システムごとに治療費は異なります)
SYSTEM 1 審美ワイヤー

当医院で装着するブラケット(ブレ−ス)ですが、前歯部はセラミックを使用しており、目立ちづらいとは思いますが、ワイヤーにおいては、金属色が一般的です。 ご希望に応じて白いワイヤー(別途)もございますので、ご希望の方はご相談ください。
SYSTEM 2 見えない矯正クリアアライナー(透明マウスピース)

アメリカや韓国などで開発・研究された最新の治療法です。
透明なマウスピースを装着しているだけで歯並びがきれいに整っていきます。

一番の利点は取り外しが可能で、見た目にも目立たないことです。食事や歯磨きの時は外すことが出来ます。
ブラケット装置で歯を動かした後、仕上げに用いることで、ブラケットの装着期間を短縮することも出来ます。
症状によっては順応できない場合があるので、ご相談下さい。
SYSTEM 3 ミニスクリュー(MIA)

歯の周りの骨に小さなスクリューを埋め、そのスクリューから歯を引っ張ります。歯並びのズレが大きい場合に用いることがあります。 歯に無理な負担をかけずに、正確な歯の移動がコントロールできるため、治療効果の向上と治療期間の短縮が可能です。 また、取り外しも簡単で安全なのでご安心下さい。
矯正治療の流れ
-
STEP 01 初診相談(約30分)
当院は新所沢駅と小手指駅のちょうど中間に位置しています。
歯並びに関する悩みや疑問点などについてお話を伺います。
相談は何回でも無料でお受け致しますので、お気軽にご相談下さい。 -
STEP 02 精密検査(約30分)
患者様の希望があれば、精密検査(レントゲン写真・顎関節の診査・歯型模型の作製など)を行い、治療計画を立案する準備に入ります。
-
STEP 03 治療計画の説明(約30分)
検査結果を徹底的に検討し、患者様に最適と思われる治療方針が決定いたします。患者様自身に治療に関するご希望がある場合はそれをお聞きし、お互いに納得した治療方針を決定いたします。
-
STEP 04 装置の装着(約30分~1時間)
治療計画に沿った装置を2~4回に分けて装着していきます。
STEP 05 毎回の調整(10分~30分)
矯正装置を装着した後は、1~2ヶ月に1回の通院で済みますので忙しい方でも心配ありません。
また、治療中は歯磨きがしづらくなりますから、定期的にクリーニングを行い、治療中の口腔衛生をサポートします。STEP 06 矯正装置の除去(約1時間)
きれいな歯並びになったところで、1~2回に分けて矯正装置を外して、歯の表面をピカピカに磨き上げます。
-
STEP 07 メンテナンス(約15分)
治療後の歯並びを安定させるため、年に数回メンテナンスをします。
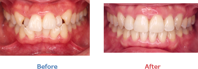
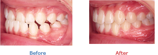
症例集
ここでは当院で行った矯正歯科治療の症例をご紹介いたします。
ここに掲載しているものは当院で行っている審美歯科症例の一部ですので、
もしこのページをご覧になられ、当院の審美歯科に興味を持たれた患者様は一度ご連絡下さい。
叢生
叢生とは、歯がねじれたり重なったりして、デコボコに生えている状態のことを言います。
八重歯、乱杭歯と呼ばれるものも叢生の1つです。
これは、顎の骨に対して歯が大きかったり、歯が並ぶ隙間が足りないことで生じる場合があります。

上顎前突
上顎前突とは、俗に"出っ歯"といわれるものです。
これは、歯の傾きが異常な場合と、上あごと下あごの位置異常や
大きさの違いによっておこる場合が考えられます。

下顎前突、反対咬合
反対咬合とは、俗に"うけ口"といわれるものです。
下の前歯が上の前歯より前に出ている状態のことをいいます。
原因は噛み癖によるものや、歯の位置や傾きの異常によるもの、
上あごと下あごの位置異常や大きさの違いによっておこる場合が考えられます。

過蓋咬合
過蓋咬合とは、噛み合わせた時に、下の前歯が見えづらくなる状態のことをいいます。
これは、歯の位置や傾きの異常によって起こっているもの、
上あごと下あごの位置異常や大きさの違いによって起こっていると考えられます。

開咬
開咬とは、噛み合わせた時に,前歯や横の歯に隙間が空いている状態のことをいいます。
これは、指しゃぶり舌の癖、口呼吸などから生じる場合があります。
また、
歯の位置異常や上あごと下あごの位置異常や大きさの違いによって起こっていると考えられます。

空隙歯列
空隙歯列とは、俗に"すきっぱ"といわれる、歯と歯の間に隙間が空いていることをいいます。
これは、顎の骨に対して歯が小さかったり、歯の数が足りないことで生じる場合があります。

よくある質問
-
いつごろ始めるのが良いですか?
矯正治療は何歳からでも始められますが、気づいた時にすぐ相談が良いでしょう。
-
部分的に装置を付けて治療することは出来ますか?
かみ合わせは上下の歯並びの関係で成り立っていますので、基本的に上下すべての歯に装置を付けて、理想的な位置まで動かしていかなければなりません。 しかし歯並びの程度によっては、100%理想的な歯並びにならないかもしれませんが、一部のみに装置を付けるプチ矯正(部分矯正)ができる場合もあります。まずはご相談下さい。
-
矯正装置によって発音はしにくい?
矯正装置を付けることによって、一時的に発音しにくくなることはありますが、慣れるにしたがって発音も回復しますので心配ありません。 以前、テレビのアナウンサーの矯正治療に携わったことがありましたが、慣れてしまうと問題ないと言われていました。
-
歯並びの悪さは遺伝なの?
親兄弟の顔や体型が似るように、歯並びも遺伝することがあります。しかし、歯列不正は生活習慣歯と深く関わっているのです。生活習慣とは姿勢や食事などのことです。 また、日常何気なくしてしまっている癖さえも、歯並びを悪くすることがあります。例えば、指しゃぶり、爪や唇をかんだり、下を前に出す癖や口で呼吸をする癖も治したほうがよいでしょう。
-
矯正治療中は痛みがあるの?
個人差はありますが歯が浮いたような違和感や、噛むと痛いといった症状が現れることがあります。我慢できないほどのものではありませんし、数日で痛みはなくなります。 痛み止めを飲む必要もありませんからご安心下さい。
-
装置を付けてスポーツしても大丈夫?
通常のスポーツ(野球・サッカー・剣道・テニスなど)であれば問題ありません。










