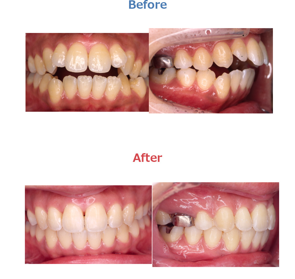
開咬の症例

開咬の症例